tirto.id - Aneurisma adalah penggelembungan yang dapat terjadi di beberapa bagian tubuh, di antaranya aorta, otak, belakang lutut, usus, atau limpa.
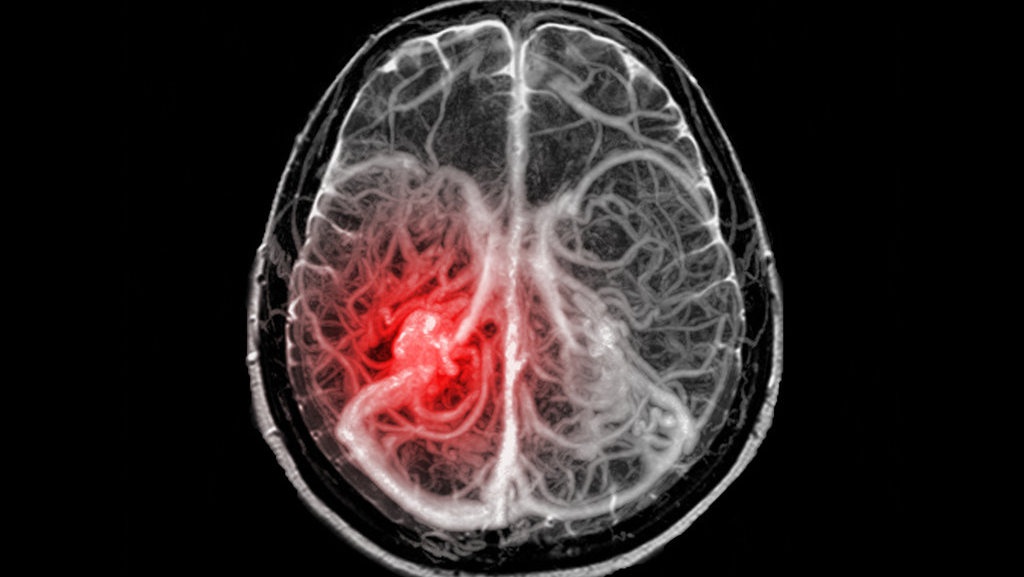
Aneurisma otak merupakan jenis aneurisma yang paling sering terjadi. Ini merupakan penggelembungan pembuluh darah di otak akibat lemahnya dinding pembuluh darah di suatu titik tertentu.
Aneurisma otak disebut juga aneurisma serebral dan dampaknya bisa membahayakan penderita.
Aneurisma otak yang pecah dapat menyebabkan kerusakan otak, stroke hemoragik, koma, hingga kematian. Penyakit ini paling sering dialami oleh Wanita usia di atas 40 tahun.
Aneurisma otak terbagi menjadi tiga jenis, di antaranya: berry (saccular), fusiform, mikrotik berry aneurisma.
Jenis berry aneurisma merupakan tipe yang paling sering dijumpai dengan ukurannya memiliki kisaran beberapa milimeter hingga lebih dari dua sentimeter.
Gejala yang Dirasakan Penderita Aneurisma Otak
Seperti jenis aneurisma lainnya, aneurisma otak mungkin tidak memiliki gejala apa pun jika masih berukuran kecil. Jika ukurannya membesar, penderita bisa mengalami berbagai keluhan, seperti :
- Nyeri dada dan punggung
- Denyut yang kuat di area perut
- Terasa kenyang walau makan hanya sedikit
- Mual, muntah, kepala “keliyengan”
- Nafas pendek dan denyut jantung cepat
- Kejang
- Mati rasa, kesemutan, atau sensasi dingin pada tangan atau kaki
- Kelopak mata turun (ptosis)
- Lemas hingga pingsan
Penyebab Aneurisma Otak
Aneurisma otak terjadi akibat dinding pembuluh darah di otak melemah atau menipis. Namun, ada beberapa faktor yang diduga dapat meningkatkan risiko terjadinya aneurisma otak, yaitu:
- Menderita tekanan darah tinggi (hipertensi).
- usia lebih dari 40 tahun.
- Berjenis kelamin perempuan, terutama yang sudah menopause.
- Memiliki riwayat cedera kepala.
- Konsumsi minuman beralkohol secara berlebihan.
- Menggunakan narkoba, terutama kokain.
- merokok.
- Riwayat keluarga dengan aneurisma otak.
Pengobatan bagi Penderita Aneurisma Otak
Langkah pengobatan tergantung pada tingkat gejala dari pasien. Pengobatan pada aneurisma otak pecah dapat memberikan obat untuk meredakan gejala dan mencegah komplikasi.
Pengobatan penyakit ini dengan pengobatan dan fisioterapi untuk memulihkan kondisinya.Jenis obat-obatan yang diberikan dapat berupa:
- Obat antagonis kalsium
- Obat Pereda nyeri
- Obat vasopressor
- Obat anti kejang
Pencegahan Aneurisma Otak
Sebenarnya tidak ada obat yang bisa mencegah aneurisma otak. Namun pada penyakit yang meningkatkan risiko terjadinya aneurisma otak, seperti hipertensi, dapat melakukan pencegahan secara berkala dengan kontrol rutin.
Selain itu, ada beberapa upaya yang dapat dilakukan untuk mencegah aneurisma otak, seperti :
- Berhenti merokok
- Tidak menggunakan narkoba.
- Mengurangi konsumsi minuman beralkohol.
- Mengonsumsi makanan bergizi seimbang.
- Berolahraga secara rutin.
- Menjaga berat badan ideal
Penulis: Ruhma Syifwatul Jinan
Editor: Dhita Koesno
Masuk tirto.id







































