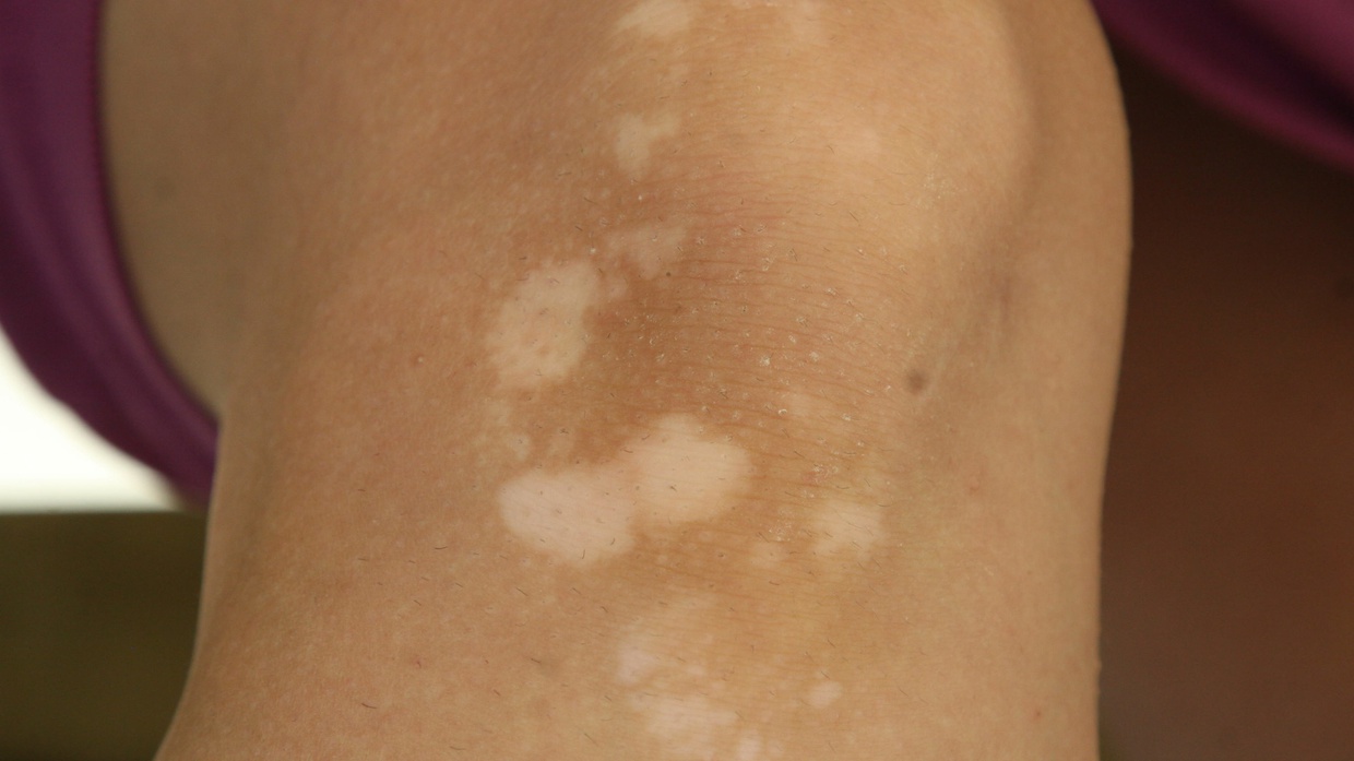
tirto.id - Tinea versikolor atau panu adalah infeksi jamur yang umum terjadi pada kulit dan menyebabkan bercak kulit yang berubah warna, biasanya bintik-bintik pucat (hipopigmentasi) di punggung atas dan bahu.
Panu yang muncul pada kulit ini disebabkan oleh ragi (Malassezia furfur). Zat ini bertugas menghasilkan zat yang menekan produksi warna pada kulit sehingga menyebabkan bintik-bintik pucat pada kulit.
Pada kulit yang lebih terang, mungkin tampak berwarna merah muda atau coklat muda.
Dilansir dari situs emedicinehealth, panu atau tinea versicolor juga memiliki nama alternatif yakni pityriasis versicolor.
Nama ini lebih disukai oleh beberapa spesialis karena tinea secara teknis istilah pityriasis versicolor mengacu pada bintik-bintik warna berbeda yang secara teknis lebih akurat. Meskipun secara teknis tidak tepat "tinea versicolor" jauh lebih banyak digunakan.
Apa Penyebab Panu atau Tinea Versicolor?
Mengutip Pharmaeasy.in terdapat beberapa faktor yang sering menjadi penyebab adanya panu pada kulit kita. Berikut ini penjabarannya:
- Panu mungkin muncul di kulit Anda yang tinggal di iklim panas dan lembab
- Anda mungkin juga mendapati panu hadir karena Anda merupakan tipe yang berkeringat terlalu banyak
- Mengenakan pakaian lembab dapat menyebabkan perkembangan infeksi jamur.
- Kekebalan yang terganggu karena penyakit yang bawaan misalnya seperti diabetes, HIV, kanker, dll. Beberapa penyakit tersebut juga dapat menjadi penyebab munculnya infeksi jamur.
- Tinggal di lingkungan yang tidak bersih dan tidak menjaga kebersihan diri dapat menyebabkan infeksi jamur.
- Mengenakan pakaian kotor seperti kaus kaki dan pakaian dalam yang tidak bersih dapat menyebabkan infeksi jamur.
- Mengenakan pakaian yang terlalu ketat dapat menyebabkan keringat hal ini berefek pada memberikan kelembapan yang diperlukan untuk mempercepat pertumbuhan jamur.
- Obesitas juga dapat menyebabkan infeksi jamur, hal ini dikarenakan kelembaban dapat dipertahankan di lipatan kulit, selanjutnya memberikan tempat berkembang biak bagi jamur.
- Stres juga dapat membahayakan kekebalan kita dan lebih lanjut juga dapat menyebabkan infeksi jamur.
- Perubahan hormonal pada kehamilan dapat menyebabkan infeksi vagina.
Panu atau bercak tinea versikolor bisa sangat tidak nyaman dan dapat membuat Anda mungkin merasa tidak percaya diri dengan penampilan Anda.
Kabar baiknya adalah infeksi ini dapat diobati dengan mudah dengan obat antijamur yang sesuai, yang meliputi produk topikal dan pil oral.
Perawatan dini adalah cara terbaik untuk meminimalkan munculnya bintik-bintik atau tambalan baru, tetapi perlu waktu beberapa bulan agar bintik-bintik yang ada benar-benar hilang.
Anda dapat memperoleh kenyamanan dari fakta bahwa panu tidak menyebar dari satu orang ke orang lain dan sama sekali tidak bersifat kanker.
Gejala Panu
Melansir dari Mayoclinic, tanda dan gejala tinea versikolor meliputi:
- Bercak perubahan warna kulit, biasanya di punggung, dada, leher dan lengan atas, yang mungkin tampak lebih terang atau lebih gelap dari biasanya
- Gatal ringan
- penskalaan atau scaling.
Obat Alami Panu akibat Infeksi Jamur
Dilansir dari situs Pharmaeasy.in, terdapat beberapa resep rumahan yang dapat Anda terapkan untuk mengobati panu akibat infeksi jamur. Berikut 11 resep yang dapat Anda coba:
1. Konsumsi Yoghurt dan Probiotik
Yoghurt dan probiotik lainnya memiliki banyak bakteri baik yang membantu mencegah banyak infeksi jamur.
2. Cuci dengan Sabun dan Air
Bersihkan area yang terkena dengan sabun dan air dua kali sehari sebelum Anda menerapkan pengobatan rumahan atau obat lain apa pun. Hal ini juga akan bermanfaat dalam mengontrol penyebaran infeksi.
3. Cuka Sari Apel
Cuka sari apel memiliki sifat antijamur. Anda bisa mencampurkan dua sendok makan ke dalam air hangat dan meminumnya atau mencelupkan bola kapas ke dalamnya dan mengoleskannya pada kulit Anda. Melakukan hal ini tiga kali sehari akan memberikan hasil yang bermanfaat.
4. Minyak Pohon Teh
Minyak pohon teh secara alami merupakan antijamur dan antibakteri. Campurkan dengan minyak pembawa seperti minyak kelapa atau minyak zaitun dan oleskan ke area yang terinfeksi sekitar tiga sampai empat kali sehari.
5. Minyak Kelapa
Meskipun tidak dipanaskan, minyak kelapa bekerja sebagai agen antijamur yang ampuh. Menerapkannya di atas kulit membuatnya menjadi obat topikal yang baik dan aman. Anda dapat menggunakan di atas kulit tiga kali sehari.
6. Kunyit
Kunyit adalah rempah-rempah antimikroba dan anti-inflamasi yang kuat. Campurkan sedikit air dan oleskan di atas area yang terinfeksi. Untuk mendapatkan manfaat di lingkungan internal tubuh, campurkan dengan air hangat, atau minum teh kunyit.
7. Lidah Buaya
Salah satu solusi alami yang paling teruji waktu untuk menyembuhkan infeksi kulit adalah lidah buaya. Ini tidak hanya mengobati infeksi tetapi juga menenangkan dan memperbaiki kerusakan kulit.
8. Bawang putih
Bawang putih adalah salah satu herbal antijamur dan antimikroba yang paling ampuh. Mereka yang makan bawang putih secara teratur cenderung lebih kebal terhadap infeksi jamur. Hancurkan beberapa bawang putih dengan sedikit minyak zaitun dan buat pasta. Oleskan ke area yang terinfeksi selama sekitar tiga puluh menit.
9. Minyak Oregano
Agen antijamur aktif lainnya adalah minyak oregano. Campur beberapa tetes dengan minyak dan oleskan pada area yang terkena panu. Anda juga bisa mengonsumsi kapsul minyak oregano secara oral.
10. Daun Mimba
Daun mimba memiliki sifat antijamur yang efektif dan sangat baik untuk kulit. Mencuci daerah yang terinfeksi dengan air nimba membantu dalam mengobati infeksi jamur. Untuk membuat air nimba, rebus daun nimba dalam air selama 2 hingga 3 menit.
11. Mengkonsumsi makanan yang kaya akan Vitamin C
Vitamin C (asam askorbat berfungsi dalam meningkatkan sistem kekebalan tubuh kita. Ini melindungi tubuh kita dari berbagai infeksi. Sistem kekebalan yang baik juga membantu mengobati infeksi jamur lebih cepat.
Penulis: Ai'dah Husnala Luthfiyyah Ans
Editor: Yandri Daniel Damaledo
Masuk tirto.id

































